Oftmals findet sich eine schmerzhafte Schwellung des Bauches, eine tastbare Resistenz und es kommt zur Bauchumfangsvermehrung. Charakteristisch sind zudem ein Völlegefühl, Symptome eines beginnenden oder manifesten Darmverschlusses (durch Verdrängung des Darms infolge des Tumorwachstums) und allgemeine Tumorzeichen, wie Abgeschlagenheit, Müdigkeit, Gewichtsverlust, Nachtschweiß und eine Anämie (= Blutarmut). Einige Patienten haben aber überhaupt keine oder nur sehr unspezifische Symptome und es findet sich dann eine lange Dauer bis zur Diagnosestellung. Warnsignale sind immer eine rasche Bauchumfangsvermehrung, Schmerzen und eine derbe, unverschiebliche Raumforderung.
Die diagnostische Strategie besteht immer in einer exakten Bestimmung der anatomischen Lage, der Evaluation der Ausdehnung des Tumors bzw. dessen potentielle Infiltration von Nachbarorganen sowie die Umfelddiagnostik (= Staging) mit der Frage nach Fernmetastasen (z.B. in Leber, Lunge oder Knochen). Zudem sind vor Beginn der Therapie die histopathologischen (= feingeweblichen) Besonderheiten des Sarkoms zu klären, was nur mittels einer prätherapeutischen Biopsie des Tumors möglich ist. Dies ist von Relevanz für die Indikationsstellung einer neoadjuvanten Therapie.
Diagnostisches Vorgehen
- Die lokale Ausbreitungsdiagnostik erfolgt erstrangig durch die MRT (= Magnet-Resonanz-Tomographie), welche die Technik der Wahl bei jeglicher Art von Weichteilraumforderung darstellt. Sie verfügt über eine sehr gute Ortsauflösung und Weichteilkontrastdifferenzierung.
- Die systemische Ausbreitungsdiagnostik besteht in der CT (=Computer-Tomographie) bzw. im PET (= Positronen-Emmissions-Tomographie)-CT hinsichtlich der Detektion von potentiellen Fernmetastasen.
- Die exakte prätherapeutische histologische Diagnose stellt einen wichtigen Schritt im späteren Entscheidungs- und Therapiealgorithmus von Sarkomen dar. Hierdurch wird nicht nur das Ausmaß der chirurgischen Resektion, sondern auch die Initiierung von neoadjuvanten (Strahlen- / Chemo-) Therapien bestimmt. Zudem müssen andere Erkrankungen, welche prinzipiell nicht chirurgisch, sondern vor allem chemo- / strahlentherapeutisch behandelt werden (z.B. Lymphome, retroperitoneale, extragonadale Seminome, Lymphknotenmetastasen von Keimzelltumoren) mittels histologischer Sicherung ausgeschlossen werden. Diese stellen sich im CT häufig als Gewebevermehrungen neben den großen Bauchgefäßen (Aorta, Vena cava) dar. Auch ist bei sehr großen gastrointestinalen Stromatumoren (GIST), die neoadjuvant mittels Chemotherapie vorbehandelt werden müssen, um sie vor einer geplanten Operation zu verkleinern, oftmals eine prätherapeutische histologische Sicherung erforderlich, um entsprechende Differentialdiagnosen auszuschließen.
Dabei bestehen sehr hohe Anforderungen an die prätherapeutische Histologie, um eine hohe Qualität und diagnostische Treffsicherheit zu gewährleisten. Die feingewebliche Probe muss genügend pathologische Informationen enthalten, um eine adäquate Therapie zu ermöglichen. Andererseits darf diese Biopsie keine Komplikationen verursachen, die möglicherweise das weitere chirurgische Vorgehen erschweren. Zudem neigen die Weichteilsarkome dazu, dass bei nicht korrekt durchgeführter Biopsie Tumorzellen verschleppt werden können. Die Biopsiestelle sollte immer mit dem behandelnden Chirurgen besprochen werden und in der Stelle des späteren en bloc-Resektats lokalisiert sein (longitudinale Inzision, zentral), damit die ehemalige Punktionsstelle exzidiert werden kann im Rahmen der Operation.
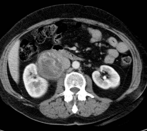
Die nachfolgenden Abbildungen zeigen die prätherapeutische CT-gestützte Biopsiegewinnung (Stanzbiopsie) bei einem pleomorphen Liposarkom im rechten Unterbauch.
 |  |
Quelle: Klinik und Poliklinik für Diagnostische und Interventionelle Radiologie, Universitätsklinikum Leipzig
Es sollte immer eine interdisziplinäre Besprechung zwischen
Chirurgie, diagnostischer Radiologie, Hämato-Onkologie, Strahlentherapie und
Pathologie bereits vor der Biopsie in einem spezialisierten Zentrum erfolgen!
Subtyp und Grading des Sarkoms können zu > 95 Prozent durch die prätherapeutische
Biopsie festgelegt werden. Ein Weichteilsarkom-erfahrener Pathologe hat eine
diagnostische Treffsicherheit von 95 - 99 Prozent. Zu beachten ist immer die
potentielle Heterogenität innerhalb eines Tumors, so dass es gelegentlich
schwierig sein kann, eine repräsentative Biopsie zu gewinnen, wie am Beispiel
des hier dargestellten Schwannoms.
 | Quelle: Institut für Pathologie, Universitätsklinikum Leipzig |
In selektionierten Situationen besteht die Möglichkeit zur laparoskopischen
(minimal-invasiven) oder offenen chirurgischen Biopsie, sollte die vorherige
Biopsiemethode nicht zielführend sein. Eine alleinige radiologische Bildgebung
wird als ausreichend für die Diagnose von lipomatösen (= von den Fettzellen
ausgehenden) Tumoren betrachtet, wenn keine präoperative (Strahlen- / Chemo-)
Therapie geplant ist.
 | |
Pat. 36 J., weibl. mit großem lipomatösem Tumor gluteal mit Ausbreitung durch das Foramen ischiadicum. Endgültige Histologie: Lipom ohne Nachweis von Malignität.
Quelle: Klinik und Poliklinik für Diagnostische und Interventionelle Radiologie, Universitätsklinikum Leipzig
Auch kann in Sonderfällen auf eine präoperative Biopsie verzichtet werden zur Vermeidung einer durch die Biopsie bedingten Aussaat von Tumorzellen und deren Verschleppung in die Bauchhöhle, wenn die Bildgebung bereits nahelegt, dass ein viszerales oder retroperitoneales Weichteilsarkom sicher komplett resektabel ist, d.h. eine R0-Resektion = die makro- und mikroskopische Tumorfreiheit durch die Operation zu erzielen ist.