Sie sind hier: Skip Navigation LinksKlinik und Poliklinik für Orthopädie, Unfallchirurgie und Plastische Chirurgie

Behandlungsspektrum der Endoprothetik

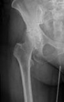
Koxarthrose

​Die Koxarthrose ist der Fachbegriff für die Abnutzungserscheinung des Hüftgelenkes. Typische klinische Zeichen sind das Auftreten von Schmerzen in der Leiste bis zum Knie sowie Bewegungseinschränkungen. Bei entsprechender Indikation erfolgt als operative Möglichkeit die Implantation einer Hüfttotalendoprothese (HTEP).

Hierbei handelt es sich um den Ersatz von Hüftpfanne und Hüftgelenkskopf. Die Implantate werden mit oder ohne Knochenzement verankert, je nach Knochenqualität. Je nach Grad und Art der Abnutzung des Hüftgelenkes steht eine Vielzahl von Implantaten zur Verfügung. Bei Eignung des Befundes wird eine minderinvasive Operationstechnik angewandt, welche zu einer geringeren Traumatisierung des Gewebes und einer schnelleren Mobilisierung der Patienten führt.

Koxarthrose
Hüfttotal-Endoprothese Kurzstiel-Endoprothese Normalstiel-Endoprothese

 

Gonarthrose

​Die Gonarthrose bezeichnet die Abnutzung des Kniegelenkes. Klinische Zeichen sind auch hier Schmerzen und Bewegungseinschränkungen sowie eventuell eine fortschreitende Fehlform des Beines (O-Bein, X-Bein). Der Gelenkersatz wird als Knietotalendoprothese (KTEP) bezeichnet.

Hier werden die Gelenkflächen von Oberschenkelknochen (Femur) und Schienbein (Tibia) ersetzt. Zwischen die beiden Gelenkteile aus einer Metalllegierung wird ein Plastikinlay eingefügt, um eine adäquate Beweglichkeit zu gewähren. Wir verwenden in unserer Klinik in erster Linie Knieendoprothesensysteme der Firma DePuy (LCS Complete und LCS Complete Revision)

Gonarthrose Knietotalendoprothese Röntgenbild KTEP

 

Omarthrose

​Abnutzungserscheinungen des Schultergelenkes (Omarthrose) können ebenfalls endoprothetisch versorgt werden, wobei hier aufgrund der vorwiegend muskulär bedingten Gelenkführung einige Besonderheiten beachtet werden müssen, welche im Rahmen einer ambulanten Vorstellung abgeklärt werden.

Omarthrose Schultergelenksendoprothese

 

Weitere künstliche Gelenke

​Eine Versorgung mit Kunstgelenken ist auch bei Arthrosen anderer Gelenke möglich. Zu nennen sind hier insbesondere das Ellenbogengelenk, das obere Sprunggelenk, das Handgelenk, das Daumensattelgelenk sowie die Grundgelenke der Finger. Die Indikationsstellung für eine endoprothetische Versorgung der genannten Gelenke sollte ebenfalls im Rahmen einer ambulanten Vorstellung geklärt werden.

Arthrose Ellenbogengelenk Endoprothese SprunggelenkArthrose Handgelenk Arthrose Sprunggelenk
Endoprothese Ellenbogengelenk Endoprothese DaumensattelgelenkEndoprothese FingergelenkEndoprothese Handgelenk

 

 

 

"Fast Track" Konzept - schneller wieder fit

Jedes Jahr wird in Deutschland mehr als 400.000 Mal Flyer1 (2).jpgein Gelenkersatz an Knie- oder Hüftgelenk durchgeführt. Damit zählt dieser Eingriff zu den am häufigsten durchgeführten Operationen in Deutschland.  In den letzten Jahren haben sich nicht nur die Operationsverfahren und die Implantate geändert, sondern auch das gesamte perioperative Behandlungskonzept. 

Das „Fast Track“ Verfahren, das mit „Überholspur“ übersetzt werden kann, wurde ursprünglich für die Viszeralchirurgie entwickelt und wird seit einigen Jahren erfolgreich auch im Bereich der Endoprothetik eingesetzt. Es handelt sich hierbei um eine moderne, patientenorientierte und evidenzbasierte Behandlungsstrategie. Die einzelnen Schritte wurden interdisziplinär erarbeitet und sind speziell aufeinander abgestimmt. Das Ziel ist eine schnelle Genesung des Patienten und zügige Wiederherstellung der Eigenständigkeit. Durch eine intensive Vorbereitung kann der Patient aktiv seinen Behandlungsverlauf positiv mitgestalten und Verantwortung für seinen Heilungsprozess übernehmen.

In der Patientenschulung wird der Patient umfassend über die bevorstehende Operation informiert und lernt den Umgang mit Gehstützen kennen. Des Weiteren werden bereits Bewegungsübungen zur Kräftigung der Muskulatur und Aktivierung des Lymphsystems gezeigt, die der Patient selbständig durchführen kann. Eine wichtige Rolle spielen neben einer schonenden Narkoseform (z.B. durch Rückenmarks- oder Regionalanästhesien), auch moderne Operationsverfahren. So wird das Gewebe durch minimal-invasive und muskelschonende Zugangswege wenig traumatisiert. Durch den Einsatz von Lokalanästhetika, die direkt in den Wundbereich injiziert werden, kann der Patient bereits am Operationstag aufstehen. Auf die Einlage von Drainagen oder Katheter, die bei der Mobilisation stören könnten, wird ebenfalls verzichtet. Dies führt nachweislich zu einer höheren Patientenzufriedenheit und verringert  Komplikationen.  

Flyer (PDF)

 
Liebigstraße 20, Haus 4
04103 Leipzig
Ambulanz:
0341 - 97 17004
Patientenmanagement:
0341 - 97 23103
Fax:
0341 - 97 17309
Map