Sie sind hier: Skip Navigation LinksKlinik und Poliklinik für Nuklearmedizin

PET-MRT

​Die PET-MRT als bildgebendes Verfahren ist eine Kombination aus Magnetresonanztomographie (MRT) und Positronenemissionstomographie (PET). Beide etablierten Untersuchungsmethoden werden simultan durchgeführt, so dass sie sich in ihrer diagnostischen Wertigkeit ergänzen und die Zahl der Untersuchungen sowie die Untersuchungsdauer für den Patienten sinken.

Im Vergleich zur PET-CT, welche seit Jahren z. B. bei der Diagnostik onkologischer, entzündlicher und neurodegenerativer Erkrankungen etabliert ist, bietet die PET-MRT einen wesentlich besseren Weichteilkontrast für innere Organe, Muskulatur, Gehirn etc. bei gleichzeitig deutlich reduzierter Strahlenbelastung durch Verzicht auf die CT.

Wir führen die PET-MRT unter anderem auch zum Ganzkörper-Tumor-Staging bei kindlichen Malignomen (reduzierte Strahlendosis) durch.

Weitere Einsatzgebiete

​Weitere Einsatzgebiete der PET-MRT sind:

  • Diagnostik von Demenzerkrankungen
  • Primärdiagnostik und posttherapeutische Verlaufskontrolle bei Hirntumoren
  • Ganzkörper- und Lokal-Staging von Tumorerkrankungen (Prostata-Karzinome, HNO-Tumore, Gynäkologische Tumore, Tumore des Gastrointestinaltrakts u.a.)
  • Vitalitätsdiagnostik am Herzen

Unser Team aus Nuklearmedizinern und Radiologen, Neuroradiologen und Kinderradiologen stellt für jede Untersuchungsameldung individuell die Indikation zur PET-MRT. Die gleichzeitige Durchführung eines diagnostischen MRTs ist insbesondere dann sinnvoll, wenn zusätzlich zur PET eine MRT-Diagnostik ohnehin erforderlich und vorgesehen ist.

Bei Fragen hinsichtlich einer ambulanten PET-MRT/Kostenübernahme durch die Krankenkasse stehen wir gerne für Sie bereit.

Bildbeispiele

[68Ga]PSMA-PET-MRT beim Prostatakarzinom: Bei diesem Patienten kam es nach Prostataentfernung und Nachbestrahlung und trotz Hormontherapie zu einem erneuten Tumormarker-Anstieg im Blut. In vorherigen Untersuchungen (Ultraschall und Becken-MRT) konnte jedoch kein Tumorgewebe gefunden werden. In der PET/MRT zeigt sich, dass einige Lymphknoten in Höhe der Lendenwirbelsäule (roter Kasten) die für das Prostata-Karzinom typischen Veränderungen aufweisen („Aufleuchten"). Die so festgestellten Lymphknotenmetastasen können dann weiter therapiert werden (z.B. Nachbestrahlung).

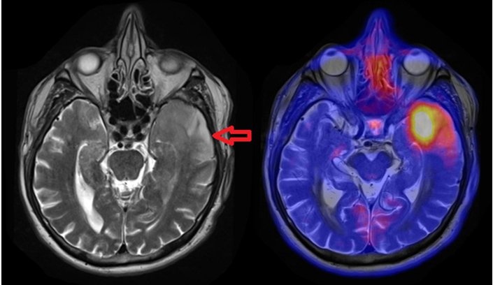
[11C]Methionin-Aminosäure-PET-MRT von Hirntumoren. Links: Leichte Schwellung im linken Temporallappen des Gehirns. Rechts: Die Region hat einen deutlich gesteigerten Aminosäurestoffwechsel („Aufleuchten") als Zeichen eines bösartigen Tumors.

[18F]FDG-Glukosestoffwechsel-PET-MRT von Tumoren: Links: unklare Raumforderung im rechten Vorhof des Herzens. Rechts: die Raumforderung stellt sich mit einem stark erhöhten Zuckerstoffwechsel dar als Zeichen für bösartiges Tumorgewebe.

[18F]FDG-Glukosestoffwechsel-PET-MRT von Tumoren: Links: Kindliches Lymphom mit intensivem Zuckerstoffwechsel (A) vor Chemotherapie. Rechts: Nach Chemotherapie ist das Tumorgewebe in der MRT noch deutlich sichtbar, der Zuckerstoffwechsel ist nahezu vollständig normalisiert (B).

[18F]FDG-Glukosestoffwechsel-PET-MRT des Gehirns: Kein Nachweis einer kortikalen Atrophie im MRT (A). Deutlich verminderter Glukosestoffwechsel im Parietal- und Temporallappen des Gehirns, typisch für eine Alzheimerdemenz (B). Im Vergleich zu einer Kontrollgruppe ist der Glukosestoffwechsel des Gehirns parietotemporal beidseits signifikant vermindert, was dem Bild einer Alzheimerdemenz entspricht.

[18F]FDG-Glukosestoffwechsel-PET-MRT des Herzmuskels: Links: Herz-MRT (late enhancement) zur Beurteilung der Vitalität des Herzmuskels bei einer chronischen Verengung mehrerer Herzkranzgefäße. Rechts: Der gleichzeitig erfasste Glukosestoffwechsel in der PET bestätigt, dass einige Wandabschnitte nicht mehr vital sind (Pfeile).

 

Ansprechpartner

​PET-MRT
Telefon: 0341 - 97 18017


Prof. Dr. med. Osama Sabri

Klinikdirektor

Telefon: 0341 - 97 18000
E-Mail:  osama.sabri@medizin.uni-leipzig.de

Untersuchungsvorbereitung

Informationen zur Untersuchungsvorbereitung von PET-CT-Untersuchungen finden Sie hier.

 

Liebigstraße 18, Haus 3
04103 Leipzig
Telefon:
0341 - 97 18003
Fax:
0341 - 97 18009
Map