Sie sind hier: Skip Navigation LinksInstitut für Neuroradiologie

Diagnostikangebot

​​​​Das Spektrum der Neuroradiologie umfasst die Diagnostik und die Therapie von Erkrankungen des Nervensystems mit Hilfe bildgebender Verfahren. ​

MRT-Untersuchungen des Kopfes und der Wirbelsäule mit Spinalkanal führen wir für ambulante Patientinnen und Patienten insbesondere nach Überweisung durch Spezialambulanzen des UKL durch.

Darüber hinaus können wir diese Untersuchungen leider nicht für alle ambulanten Patientinnen und Patienten anbieten.​

Computertomographie (CT)

CT des Schädels und der Wirbelsäule mit CT-Angiographie, Perfusions-CT und CT-gestützter Therapie (siehe Angiographie und Intervention).

Es stehen drei Mehrzeilen-CT-Geräte (64, 128 und 256 Zeilen) für Diagnostik und Therapie zur Verfügung, die Nutzung erfolgt gemeinsam mit der Klinik für Radiologie.

Magnetresonanztomographie (MRT)

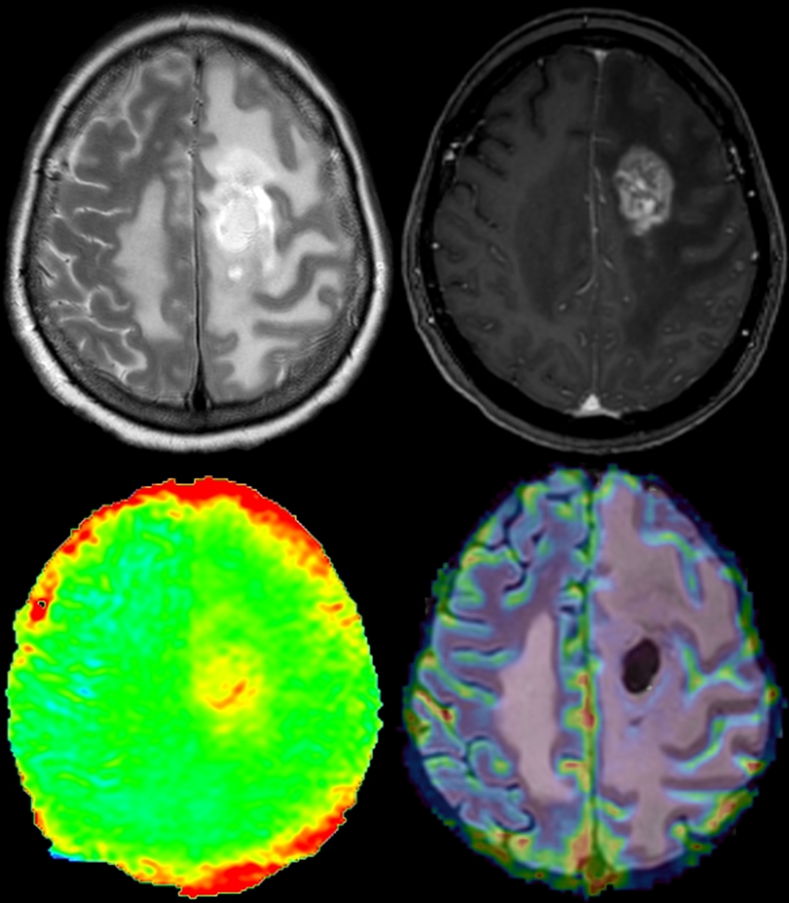
MRT des Schädels, Spinalkanals und peripherer Nerven einschließlich funktioneller, mikrostruktureller und metabolischer Verfahren (Perfusions- und Diffusions-Tensorbildgebung, fMRT, MR-Spektroskopie, amide proton transfer - Imaging) sowie MR-Angiographie.

Es stehen vier moderne Magnetresonanztomographen (3,0 und 1,5 Tesla) zur Verfügung, die gemeinsam mit der Klinik für Radiologie genutzt werden.


Angiographie (DSA)

Die minimal-invasive, angiographisch kontrollierte Behandlung von Gefäßfehlbildungen, degenerativen Gefäßveränderungen, Gefäßverschlüssen und Tumoren erfolgt mit verschiedenen Kathetertechniken über arterielle oder/und venöse Gefäßzugänge in Vollnarkose oder Lokalanästhesie, gelegentlich durch perkutane Direktpunktion von anderweitig nicht ausreichend gut zugänglichen krankhaften Veränderungen.

Angiographische Untersuchungen und Eingriffe erfolgen an einer modernen biplanaren Angiographieanlage.​

 
Liebigstraße 20, Haus 4
04103 Leipzig
Telefon:
0341 - 97 17410
Fax:
0341 - 97 17490
Map